
폐암에 대한 심층 분석 및 예방 가이드
폐암은 폐에서 발생하는 악성 종양으로, 초기에는 증상이 뚜렷하지 않아 진행된 후에야 진단되는 경우가 많습니다. 폐암은 소세포 폐암(SCLC)과 비소세포 폐암(NSCLC)으로 나뉘며, 각각의 치료와 예후가 다릅니다. 한국에서 폐암은 가장 높은 암 사망률을 기록하고 있으며, 흡연이 주요 원인으로 꼽히지만, 비흡연자에게서도 발생할 수 있습니다.
주요 통계:
- 2022년 기준 한국 폐암 사망자 수: 18,000명 이상
 - 전체 암 사망자의 22.3%가 폐암으로 인한 것
 - 흡연자는 비흡연자보다 폐암 발생 확률이 약 20배 높음
 
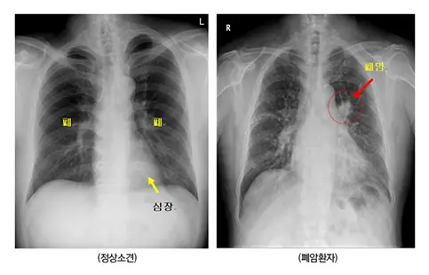
폐암의 증상과 조기 진단의 중요성
폐암은 초기에는 증상이 거의 없거나, 다른 호흡기 질환과 유사한 증상을 보입니다. 그러나 다음과 같은 증상이 지속된다면 반드시 전문가의 검진을 받아야 합니다:
- 지속적인 기침: 특히 2주 이상 지속되는 경우, 감기가 아닌 폐암의 초기 신호일 수 있습니다.
 - 객혈: 가래에 피가 섞여 나오는 경우, 폐암 가능성을 강하게 시사합니다.
 - 호흡곤란: 활동 시 숨이 차거나 호흡이 어려운 경우, 폐 기능 저하를 의심할 수 있습니다.
 - 흉통: 흉부나 어깨에 지속적인 통증이 있다면, 암이 흉막을 침범했을 가능성이 있습니다.
 

조기 발견의 중요성
- 초기 발견 시 5년 생존율이 60% 이상이지만, 말기까지 진단이 늦어지면 생존율은 5% 이하로 급감합니다.
 - 저선량 흉부 CT 검사는 폐암의 조기 발견에 매우 유용하며, 특히 흡연자나 고위험군에게 적극 권장됩니다.
 
폐암 진단 방법
폐암을 진단하기 위해서는 여러 가지 검사를 통해 암의 존재 여부를 확인하고, 병기를 결정하게 됩니다. 여기에는 영상 검사, 조직 검사, 그리고 유전자 검사 등이 포함됩니다.

저선량 흉부 CT
- 저선량 흉부 CT는 폐암의 조기 진단에 가장 효과적인 검사 방법입니다. 이 검사는 X선 검사보다 더 민감하게 작은 결절을 발견할 수 있으며, 특히 고위험군(흡연자, 가족력이 있는 경우)에게 권장됩니다.
 

기관지내시경 검사
- 기관지내시경 검사는 기관지를 통해 종양을 직접 관찰하고, 필요 시 조직을 채취하는 검사입니다. 이 검사는 종양이 기관지 가까이에 위치한 경우 특히 유용합니다.
 

경피 바늘 조직검사
- 경피 바늘 조직검사는 CT나 초음파를 이용해 폐에 바늘을 삽입하여 조직을 채취하는 방법으로, 주로 폐의 중심부에 위치한 종양을 확인하는 데 사용됩니다. 이 검사는 진단 정확도를 높이는 데 중요합니다.
 

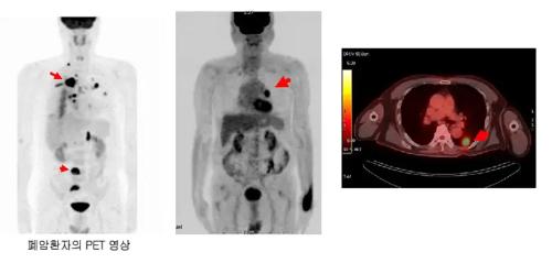
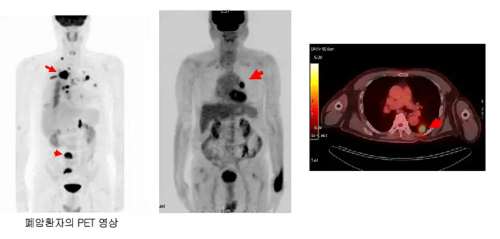
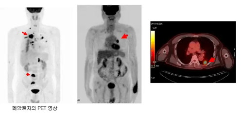
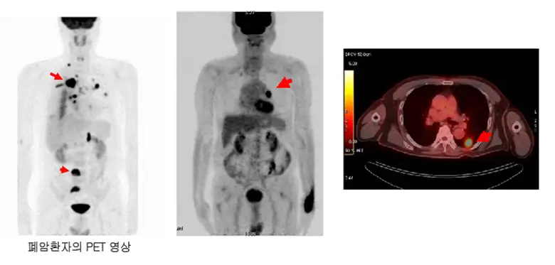
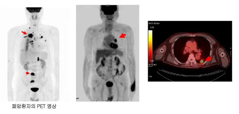
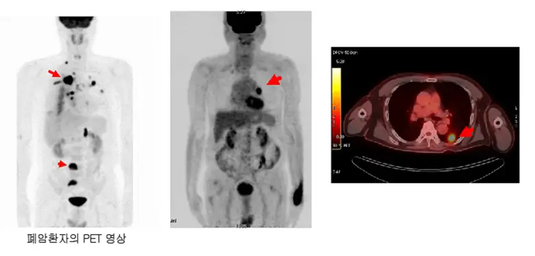
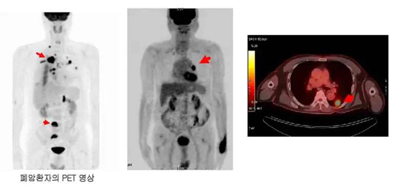
PET-CT
- PET-CT는 암세포의 대사 활동을 평가하여 암의 위치와 전이 여부를 확인하는 데 사용됩니다. 방사성 포도당을 주입하여 암세포의 대사 활동이 활발한 부위를 시각화합니다.
 

유전자 검사
- 유전자 검사는 암세포에서 발생한 특정 유전자 변이를 확인하는 데 사용됩니다. 상피세포성장인자수용체(EGFR) 변이, ALK 변이 등이 대표적이며, 이러한 변이가 있으면 표적치료제의 사용이 가능해집니다.
 
폐암의 주요 원인과 위험 요인
흡연은 폐암의 가장 큰 원인으로 알려져 있으며, 흡연자의 폐암 발생률은 비흡연자보다 현저히 높습니다. 하지만 흡연 외에도 폐암 발병에 영향을 미치는 여러 요인이 있습니다:
- 흡연: 폐암 환자의 약 80%는 흡연과 관련이 있으며, 담배 연기에는 약 70여 종의 발암 물질이 포함되어 있습니다.
 - 간접흡연: 비흡연자도 간접흡연에 노출될 경우 폐암 위험이 증가합니다.
 - 대기오염: 미세먼지와 같은 대기오염 물질도 폐암 발병의 중요한 요인입니다.
 - 유전적 요인: 특정 유전자 변이를 가진 사람은 폐암 발생 위험이 더 높습니다.
 
주요 통계
- 흡연자는 비흡연자보다 폐암 발병 확률이 약 20배 높음
 - 대기오염에 장기간 노출된 경우 폐암 위험이 2배 이상 증가
 
폐암 진단 후 시행되는 주요 검사
폐암 진단 후에는 암의 병기와 전이 여부를 정확히 파악하기 위해 추가적인 검사가 필요합니다. 이 검사는 암의 확산 범위를 결정하고, 적절한 치료 계획을 세우는 데 필수적입니다.
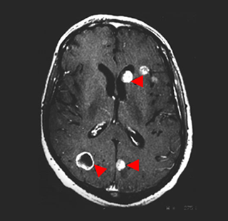
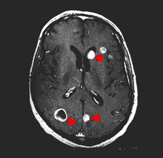
뇌 MRI
- 폐암은 뇌로 전이될 가능성이 높기 때문에, 뇌 MRI는 폐암 환자에서 뇌 전이를 확인하는 데 사용됩니다. 조기에 뇌 전이를 발견하면 치료 계획을 수정하여 환자의 예후를 개선할 수 있습니다.
 

뼈스캔
- 폐암이 뼈로 전이되었는지 확인하기 위해 시행되며, 방사성 동위원소를 주입하여 뼈에 축적되는 방사선을 감지해 전이 여부를 진단합니다. 뼈 전이는 폐암 환자에게서 흔히 발생하며, 이를 조기에 발견하는 것이 중요합니다.
 

PET-CT
- PET-CT는 전신의 암 전이를 확인하는 데 사용되는 중요한 검사로, 포도당과 유사한 방사성 동위원소를 사용하여 대사 활동이 활발한 암세포를 찾아내고, 전이된 부위를 시각화합니다. 이를 통해 전체 암의 범위를 평가하고, 정확한 병기를 설정할 수 있습니다.
 

폐암의 유전자 변이와 그 의미
폐암에서 특정 유전자 변이는 치료법 선택과 예후에 중요한 영향을 미칩니다. 이러한 유전자 변이는 폐암의 생물학적 특성을 바꾸고, 특정 치료에 대한 반응성을 결정짓습니다.
상피세포성장인자수용체(EGFR)유전자 변이
- EGFR 유전자 변이는 비소세포 폐암 환자의 약 10-15%에서 발견되며, 특히 동양인 여성 비흡연자에게서 자주 나타납니다. EGFR 변이는 암세포의 성장과 분화를 촉진하며, 이 변이가 있는 환자는 EGFR 억제제(예: 게피티닙, 엘로티닙)에 반응이 매우 좋습니다. EGFR 유전자 변이는 표적치료제가 개발되면서, 치료 성공률을 크게 높이는 역할을 하고 있습니다.
 
ALK 유전자 변이
- ALK 유전자 변이는 비소세포 폐암의 약 5%에서 나타나며, 주로 젊고 비흡연자인 환자에게서 발견됩니다. ALK 변이가 있는 환자는 ALK 억제제(예: 알렉티닙, 크리조티닙)를 통해 기존 항암화학치료보다 부작용이 적고, 치료 효과가 뛰어난 결과를 얻을 수 있습니다.
 
비소세포암과 소세포암의 병기 구분
비소세포 폐암(NSCLC)과 소세포 폐암(SCLC)은 병기 구분 방식이 다릅니다. 이는 두 암종의 생물학적 특성과 치료 전략의 차이에서 비롯됩니다.
비소세포 폐암(NSCLC)
- 비소세포 폐암은 병기를 1기부터 4기까지 세분화하여 분류합니다. 병기는 암의 크기(T), 림프절 전이(N), 원격 전이(M)에 따라 결정됩니다.
- 1기: 암이 폐에 국한되어 있으며, 림프절 전이가 없는 경우.
 - 2기: 암이 인접한 림프절이나 조직으로 퍼졌지만, 여전히 국소화된 경우.
 - 3기: 암이 폐 주변의 림프절로 전이된 경우.
 - 4기: 암이 다른 장기로 전이된 경우로, 말기 폐암으로 분류됩니다.소세포 폐암(NSCLC)
 
 
소세포 폐암(SCLC)
- 소세포 폐암은 주로 "한정병기"와 "확산병기" 두 가지로 분류됩니다.
- 한정병기: 암이 한쪽 폐와 주변 림프절에만 국한되어 있는 경우.
 - 확산병기: 암이 반대쪽 폐, 뇌, 간 등으로 전이된 경우로, 매우 진행된 상태입니다.
 
 
소세포 폐암의 빠른 진행 속도와 전이 가능성 때문에, 간단한 병기 구분이 신속한 치료 결정에 필수적입니다.
PD-L1 검사와 그 중요성
PD-L1(Programmed Death-Ligand 1) 검사는 면역관문억제제 치료의 적합성을 평가하기 위해 시행됩니다. PD-L1은 암세포가 면역 시스템의 공격을 회피하는 데 도움을 주는 단백질입니다.
- PD-L1 검사: 암세포 표면에 발현된 PD-L1의 양을 측정합니다. PD-L1이 높게 발현된 암세포는 면역관문억제제(예: 펨브롤리주맙, 니볼루맙)에 잘 반응할 가능성이 높습니다. PD-L1 검사는 면역치료의 성공 가능성을 예측하고, 환자에게 최적의 치료를 제공하는 데 중요한 역할을 합니다.
 
마치는 글
폐암은 매우 치명적인 암이지만, 조기 발견과 적절한 치료로 생존율을 크게 높일 수 있습니다. 폐암 진단 후 시행되는 뇌 MRI, 뼈스캔, PET-CT 검사는 암의 확산 범위를 평가하고 적절한 치료를 계획하는 데 필수적입니다. 또한, EGFR, ALK 유전자 변이와 PD-L1 검사는 맞춤형 치료법을 선택하는 데 중요한 역할을 합니다. 비소세포암과 소세포암의 병기 구분 역시 치료 전략을 수립하는 데 중요한 기준이 됩니다. 이러한 정보를 바탕으로 환자와 의료진이 함께 최적의 치료 계획을 세우는 것이 중요합니다.
함께 보면 좋은 내용
알코올성 간질환 초기 증상부터 예방법까지 당신의 간이 위험하다 간 건강을 위한 실천법, 지금
알코올은 오랜 세월 동안 우리 삶에 깊이 뿌리내린 문화적 요소 중 하나입니다. 그러나 과도한 알코올 섭취는 신체에 심각한 해를 끼칠 수 있습니다. 그 중에서도 특히 간에 미치는 영향은 치명
blog.gold-queen.com
'생활정보' 카테고리의 다른 글
| 주택담보대출 제한, 삼성생명의 주담대 제한 보험업계의 새로운 흐름 주택 구매 전략을 재정비해야 할 때 실수요자 중심의 대출관리 (4) | 2024.09.04 | 
|---|---|
| 암 사망1위 폐암 : 비소세포폐암 vs 소세포폐암 맞춤형 최신 치료법 총정리 Part 4 (2) | 2024.09.04 | 
| 암 사망1위 폐암 : 폐암 사망률 통계와 성별 차이 Part 2 (3) | 2024.09.02 | 
| 암 사망1위 폐암 : 원인과 예방 지금 바로 알아야 할 사실들 Part 1 (5) | 2024.09.02 | 
| 비만 치료제의 반전! 오젬픽과 위고비, 세마글루타이드의 비만 치료제에서 노화 억제제로의 진화 숨겨진 효과 과연 어디까지? (1) | 2024.09.02 | 
