폐암은 전 세계적으로 가장 흔한 암 중 하나로, 한국에서도 높은 발병률을 보이고 있습니다. 폐암은 초기 증상이 뚜렷하지 않아 조기 진단이 어려우며, 발견 시 상당 부분 진행된 경우가 많습니다. 하지만 현대 의학의 발전으로 인해 다양한 치료법이 개발되었으며, 폐암 환자의 생존율을 높이기 위한 노력들이 계속되고 있습니다. 이번 글에서는 폐암의 다양한 치료법에 대해 심도 있게 다뤄보겠습니다. 이를 통해 폐암에 대한 이해를 높이고, 각 치료법의 특징과 효과를 파악하는 데 도움이 되길 바랍니다.

폐암의 종류와 진행 단계
폐암은 크게 비소세포폐암(NSCLC)과 소세포폐암(SCLC)으로 나뉩니다. 비소세포폐암은 전체 폐암 환자의 약 85%를 차지하며, 소세포폐암은 나머지 15%를 차지합니다. 비소세포폐암은 상대적으로 천천히 자라는 반면, 소세포폐암은 매우 빠르게 자라며 전이 속도가 빠릅니다.
비소세포폐암(NSCLC)
비소세포폐암은 병기에 따라 치료 방법이 달라집니다. 1기와 2기의 경우 국소치료가 우선되며, 수술적 절제가 표준 치료법입니다. 3A기에서는 환자의 상태에 따라 수술, 방사선치료, 항암화학요법이 병행될 수 있습니다. 3B기와 4기에서는 항암화학요법과 방사선치료가 주로 사용되며, 최근 면역항암치료법이 추가되어 사용되고 있습니다.
소세포폐암(SCLC)
소세포폐암은 대부분의 경우 항암화학요법이 주된 치료법입니다. 소세포폐암은 빠르게 성장하고 전신으로 퍼져나가기 때문에 조기에 발견되지 않는 한 수술이 어려운 경우가 많습니다. 그러나 항암화학요법과 방사선치료에 대한 반응이 좋아 치료에 활용되고 있습니다.
요점 정리
- 비소세포폐암(NSCLC): 병기에 따라 수술, 방사선치료, 항암화학요법, 면역항암치료가 병행됨.
- 소세포폐암(SCLC): 빠르게 자라며 항암화학요법이 주된 치료법.
폐암의 수술적 치료
수술적 치료는 주로 비소세포폐암의 초기 단계에서 이루어지며, 암 조직이 있는 폐의 일부 또는 전체를 절제하는 방법입니다. 수술 후 회복 기간은 환자의 건강 상태와 수술 범위에 따라 다를 수 있습니다. 주요 수술 방법으로는 흉강경수술, 개흉술, 전폐절제술, 엽절제술, 쐐기절제술 등이 있습니다.
흉강경수술
흉강경수술은 가슴을 크게 열지 않고, 소형 카메라와 특수 기구를 통해 폐암을 제거하는 방법입니다. 절개 부위가 작아 회복이 빠르고 통증이 적습니다. 초기 비소세포폐암에서 주로 사용됩니다.

개흉술
개흉술은 흉부를 크게 절개하여 암 조직을 제거하는 수술입니다. 암이 폐의 여러 부위에 걸쳐 있거나 주요 혈관 주변에 위치한 경우, 개흉술이 필요할 수 있습니다.
전폐절제술과 엽절제술
전폐절제술은 한쪽 폐 전체를 제거하는 수술로, 과거에는 표준적인 방법이었지만 현재는 엽절제술로 대체되는 경우가 많습니다. 엽절제술은 폐의 한 부분만을 제거하는 방법으로, 암이 해당 부위에 국한된 경우에 사용됩니다.





요점 정리
- 흉강경수술: 절개 부위가 작고 회복이 빠르며 초기 폐암에 효과적.
- 개흉술: 암이 여러 부위에 퍼져 있는 경우에 필요.
- 전폐절제술: 한쪽 폐 전체를 제거하는 수술로, 현재는 엽절제술이 주로 사용됨.
항암화학요법
항암화학요법은 폐암 치료에서 중요한 역할을 합니다. 항암화학요법은 암세포를 죽이기 위해 약물을 사용하는 방법으로, 주로 3기와 4기 폐암 환자들에게 적용됩니다. 비소세포폐암과 소세포폐암 모두에서 사용되며, 특히 소세포폐암의 경우 치료의 핵심이 됩니다.
항암제의 종류
항암제는 크게 세포독성항암제, 표적치료제, 면역항암제로 나눌 수 있습니다. 세포독성항암제는 전통적인 항암제로, 빠르게 분열하는 세포를 공격합니다. 표적치료제는 특정 유전자를 억제하여 암세포를 선택적으로 죽이는 방법이며, 면역항암제는 환자의 면역체계를 강화하여 암세포를 공격하도록 합니다.
세포독성항암제: 전통적인 항암제, 빠르게 분열하는 세포를 공격.
비소세포폐암에 사용되는 세포독성 항암제군에는 시스플라틴(cisplatin), 카보플라틴(carboplatin), 비노렐빈(vinorelbine), 파클리탁셀(paclitaxel), 도세탁셀(docetaxel), 젬시타빈(gemcitabine), 페메트렉세드(pemetrexed), 에토포사이드(etoposide), 카보플라틴(carboplatin)
표적치료제: 특정 유전자를 억제하여 암세포를 선택적으로 공격.
이레사(gefitinib), 타세바(Erlotinib), 지오트립(Afatinib), 비짐프로(dacomitinib), 타그리소(osimertinib) 및 렉라자(lazertinib), 자이카디아(ceritinib), 알레센자(alectinib), 알룬브릭(brigatinib), 로비큐아(lorlatinib), 아바스틴(bevacizumab), 혈관내피성장인자(vascular endothelial growth factor, VEGF)
면역항암제: 면역체계를 강화하여 암세포를 공격.
키트루다(pembrolizumab), 옵디보(nivolumab), 티센트릭(Atezolizumab), 임핀지주(durvalumab)
방사선치료
방사선치료는 고에너지의 방사선을 이용해 암세포를 죽이는 방법입니다. 주로 비소세포폐암의 초기 단계나 소세포폐암의 제한적 병기에 사용됩니다. 방사선치료는 국소 부위에 높은 에너지를 집중시켜 암세포의 성장을 억제하거나 파괴하는 데 효과적입니다.
방사선치료의 종류
방사선치료에는 외부 방사선치료와 내부 방사선치료가 있습니다. 외부 방사선치료는 몸 바깥에서 방사선을 쏘아 암을 치료하며, 내부 방사선치료는 방사성 물질을 암 조직 근처에 삽입하여 치료합니다.


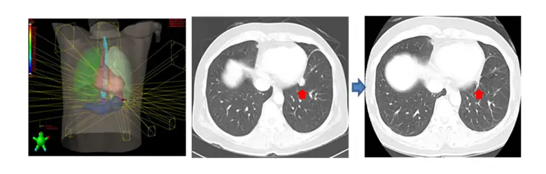
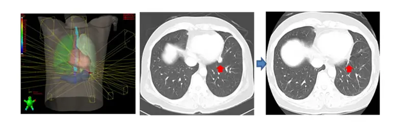
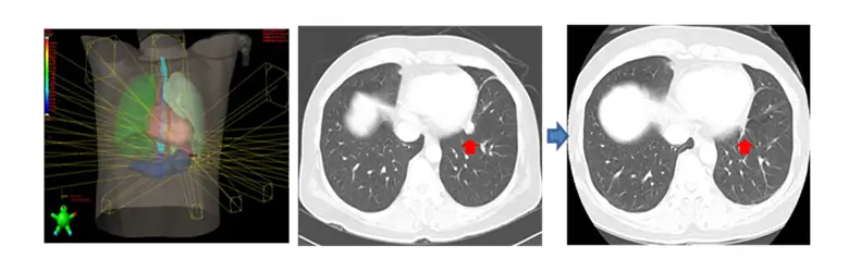
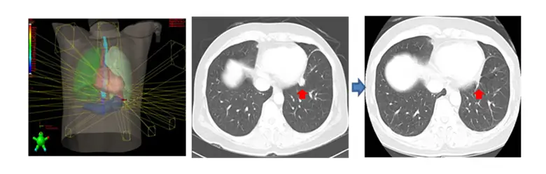
새로운 방사선치료의 종류
호흡동기 방사선치료 (Respiratory-Gated Radiation Therapy)
호흡주기 맞춤형 4차원 CT 영상을 이용하여 치료 계획을 만들고 치료에 응용하는 호흡동기방사선치료 (Respiratory-gated Radiation Therapy)를 시행하고 있습니다. 방사선치료 중 환자는 평소와 같이 편안하게 호흡을 하고 있으면, 영상장치를 이용하여 종양이 가장 적게 움직이는 호흡주기에만 선택적으로 방사선을 치료하는 방법입니다.

세기조절 방사선치료 (IMRT; Intensity Modulated Radiation Therapy)
치료목적에 최적화된 방사선분포를 치료부위에 전달하면서 주위 정상 조직에는 방사선 조사를 최소화시키는 목표를 컴퓨터를 이용한 역방향치료계획을 사용하여 구현하는 최첨단 방사선치료입니다.

체부 정위적 방사선치료 (SBRT; Stererotactic Body Radiation Therapy)

최신 폐암 치료법 : 면역항암제와 표적치료제
최근 들어 면역항암제와 표적치료제가 주목받고 있습니다. 이들 치료법은 암세포의 특정한 특성을 공격하거나, 환자의 면역체계를 활용하여 암세포를 공격하게 합니다. 특히, PD-L1 억제제와 같은 면역항암제는 폐암 치료에서 큰 효과를 보고 있으며, 표적치료제는 유전자 변이가 있는 환자들에게 탁월한 효과를 보이고 있습니다.
면역항암제
면역항암제는 암세포가 면역체계로부터 도망치는 것을 방지하고, 면역세포가 암세포를 공격하도록 돕는 약물입니다. PD-1/PD-L1 억제제가 대표적인 예로, 키트루다(pembrolizumab), 옵디보(nivolumab) 등이 있습니다.
표적치료제
표적치료제는 암세포의 특정 유전자 변이나 단백질을 타겟으로 하여 암세포를 공격하는 약물입니다. EGFR 억제제나 ALK 억제제가 여기에 해당되며, 이들 약물은 표적 유전자를 가진 환자들에게서 특히 효과적입니다.
요점 정리
- 면역항암제: PD-1/PD-L1 억제제를 통해 면역체계를 활성화하여 암세포를 공격.
- 표적치료제: 특정 유전자 변이를 가진 암세포를 선택적으로 공격.
마치는 글
폐암의 치료는 환자의 상태와 암의 병기에 따라 다양한 방법이 동원될 수 있습니다. 수술적 치료, 항암화학요법, 방사선치료, 그리고 최신의 면역항암제와 표적치료제까지, 각각의 치료법은 그 특성과 장단점이 있습니다. 환자 개인에게 맞는 최적의 치료법을 선택하는 것이 중요하며, 의료진과의 긴밀한 상담을 통해 결정해야 합니다.
폐암 치료는 빠르게 발전하고 있으며, 새로운 치료법들이 계속해서 개발되고 있습니다. 최신 정보를 지속적으로 업데이트하며, 각 치료법의 장단점을 이해하는 것이 폐암 극복의 첫걸음이 될 것입니다.
함께 보면 좋은 내용
표적항암약물치료 개념, 방법, 원리,
현대 질병 사망원인 중 독보적인 1위를 차지하고 있는암(癌) 그 암(癌)을 처치·치료하는 방법 중 하나인 표적 항암치료 법에 관하여 알아보도록 할게요.표적 항암약물치료란?기존 일반의 항암치
blog.gold-queen.com
'생활정보' 카테고리의 다른 글
| 전기차 충전 중 화재 발생 충전소 이용 시 꼭 알아야 할 안전 수칙과 보험 팁, 지금 알아보세요 (2) | 2024.09.04 |
|---|---|
| 주택담보대출 제한, 삼성생명의 주담대 제한 보험업계의 새로운 흐름 주택 구매 전략을 재정비해야 할 때 실수요자 중심의 대출관리 (4) | 2024.09.04 |
| 암 사망1위 폐암 : 증상과 진단후 반드시 알아야 할 검사와 치료 전략(조기 발견과 생존율 필수 검사와 유전자 변이의 중요성) Part 3 (0) | 2024.09.03 |
| 암 사망1위 폐암 : 폐암 사망률 통계와 성별 차이 Part 2 (3) | 2024.09.02 |
| 암 사망1위 폐암 : 원인과 예방 지금 바로 알아야 할 사실들 Part 1 (5) | 2024.09.02 |
